Uma cachorra sem raça definida, de porte médio, perdeu a visão de um dos olhos após ser baleada por um policial militar na tarde de sexta-feira (25), no bairro Jardim Mato Grosso, em Rondonópolis (MT). O autor do disparo foi identificado como sendo um policial militar, de 47 anos. O caso foi registrado por câmeras de segurança da região.
Nas imagens, é possível ver a cachorra caminhando ao lado do tutor, Claudiney Vedoveto, de 60 anos, quando se aproxima do policial, que vinha em sentido contrário, aparentemente carregando uma mochila. Em poucos segundos, o militar saca a arma e efetua um disparo contra o animal. Em outra câmera, Claudiney aparece desesperado, carregando a cachorra ferida nos braços.
De acordo com o boletim de ocorrência, o próprio policial acionou a corporação e relatou que estava indo a pé para casa quando a cadela teria tentado atacá-lo. Diante disso, alegou ter atirado em legítima defesa, atingindo o olho do animal.
A versão, no entanto, é contestada por Claudiney, que afirma que a cachorra não apresentou comportamento agressivo em momento algum. Uma testemunha relatou que, após o disparo, o tutor correu para uma clínica veterinária com o animal. Pouco tempo depois, voltou ao local para registrar um boletim de ocorrência.
A Polícia Militar informou que o caso está sendo investigado. Ambos, tanto o policial quanto o tutor da cachorra, foram encaminhados à delegacia para prestar depoimentos.
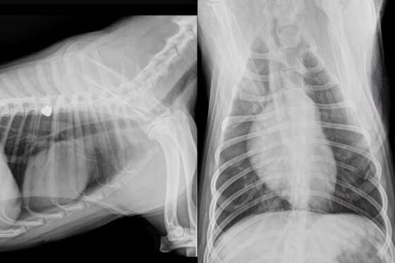
A clínica veterinária responsável pelo atendimento confirmou que, apesar de não correr risco de morte, a cachorra perdeu a visão do olho atingido. Um exame de raio-x revelou que o projétil ficou alojado próximo à costela do animal, exigindo acompanhamento contínuo.
O caso gerou revolta entre protetores de animais e moradores da região. O inquérito deve apurar se houve excesso por parte do policial e se ele responderá por maus-tratos a animais, crime previsto na Lei Federal nº 9.605/1998.






















